We believe that dental care is not just about treating dental problems but about helping you achieve optimal oral health and a beautiful smile that you can be proud of. Our goal is to make you feel comfortable and confident every step of the way.
At our dental office near you in Kendall Park, Dr. Keren Levine provides personalized care for you and your family’s smiles because everyone’s teeth and dental needs are unique. Dr. Levine and our professional dental team carefully examine your mouth and teeth, looking for any issues such as cavities, gum disease, or crowded teeth. When we find something, we will explain it clearly and identify the optimal treatment plan just for you.
Whether you are in need of a dental cleaning, a checkup or further treatment, like Invisalign, Dr. Levine ensures each treatment is as comfortable and gentle as possible. We are always happy to help answer any of your questions to help you feel calm and at ease.
If you are afraid of or anxious about visiting a dentist, that’s okay. Dr. Levine and our caring team do our best to make you feel comfortable in our office. Our dentist near you uses the latest dental techniques and technology, so the process is minimally invasive and as quick as possible.
Come see our dental office in Kendall Park, NJ, for healthy teeth and a confident smile, because we care for every patient like our family.
Welcome to Smiles by Dr. Levine – your premier dentist in Kendall Park, NJ, for advanced dental services including Smile Makeovers, Dental Implants, Botox for TMJ Pain, Invisalign, Porcelain Veneers, Composite Veneers, Teeth Whitening, and Dental Laser treatments. Led by the highly skilled Dr. Keren Levine, our boutique, family-owned practice offers a warm and inviting atmosphere where your comfort and trust are our top priorities.
We excel in both general and cosmetic dentistry, providing a wide spectrum of services from routine cleanings to intricate smile transformations. Her commitment to excellence ensures that each patient receives personalized care designed to enhance their oral health and aesthetic appeal.
We are delighted to provide a wide range of innovative dentistry procedures at Smiles by Dr. Levine. These include Smile Makeovers, dentistry Implants, Invisalign, Porcelain and Composite Veneers, Teeth Whitening, Dental Laser Procedures, and even Botox for TMJ pain relief.
Dr. Keren Levine runs our small, family-owned dental business. She is a caring and experienced dentist near you in Kendall Park who is known for being very detail-oriented and dedicated to her patients. Our staff is here to make sure that your appointment, whether it’s for a routine checkup or a full smile makeover, is comfortable, tailored to your needs, and successful.
Our philosophy is simple: we believe in educating you about your dental health so that you can make informed decisions about your care. Our team is dedicated to providing you with a comfortable and welcoming environment where you can feel at ease.
Eric Llanos2025-01-27 I appreciated the treatment that I received today. Francine Gaertner2025-01-26 I recently had my yearly cleaning and check up. As always, everyone there is so kind and caring. I’d like to take a minute though, to thank Dawn, my (the) hygienist, for being so wonderful. She has managed to get the job done even though my mouth is small and difficult to work with. (And… she never once made me feel badly about it; believe it or not, some people have.) Dawn is kind, gentle, empathetic, has a great personality, always professional and most importantly…great at what she does. Thanks Dawn!!! xo Marco DiIusto2025-01-23 Went to get a tooth filled at Dr. Levine’s today and she was very efficient and very professional. Zero pain at all ! amandeep kaur2025-01-22 Dr. Karen is amazing. I am always nervous when it comes to dental procedures but she made me feel super comfortable and gave the confidence of getting procedures done with pretty much zero pain and discomfort. She is very knowledgeable and explains everything very well. Very professional and supportive to patients with anxiety. Her staff is also very helpful. Thank you for your services Dr. Karen. Dental Sedation Services2025-01-16 I've had the pleasure of working directly with Dr. Levine for many years. She's an incredible dentist that takes such care with each of her patients. Highly recommend seeking out her expertise if you are in need of a great dentist.
Are you worried about bleeding gums or bad breath? It’s a frustrating situation that many of us have experienced.
We get it – life can be hectic, and it’s all too easy to let those regular dental checkups slip by the wayside.
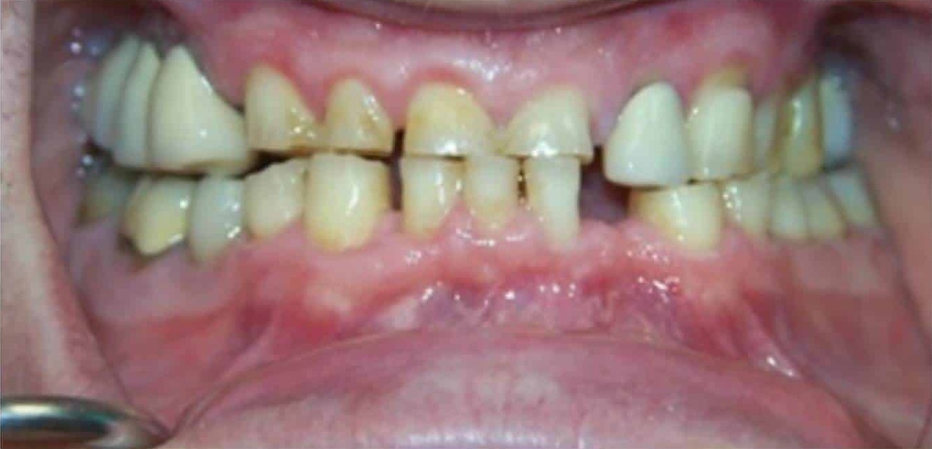
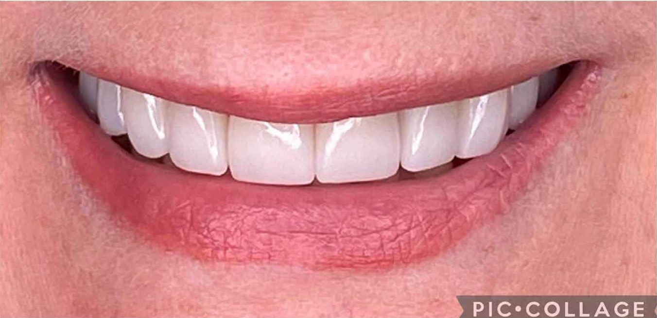
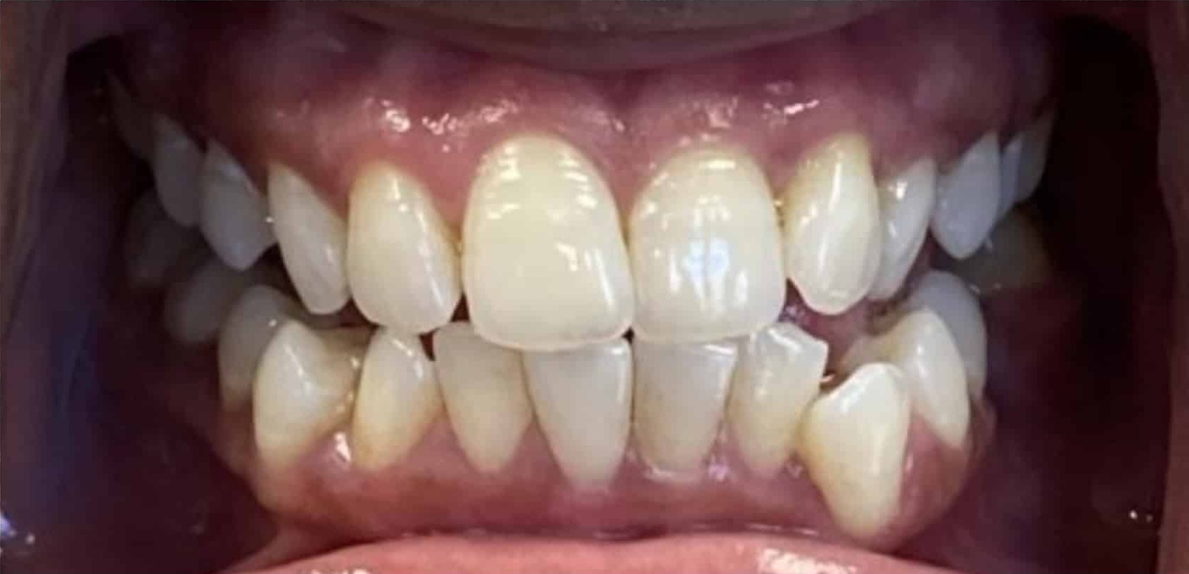
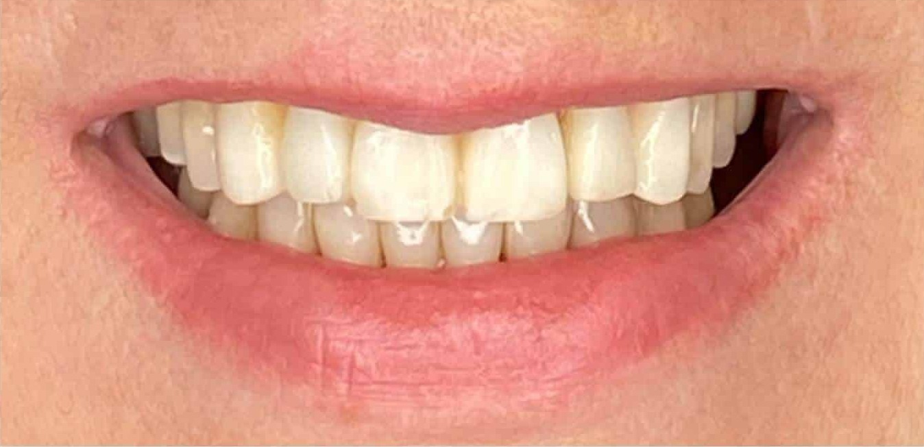
Are you hiding your smile in photos? You’re not alone. Many adults think their teeth are too late to fix.
Dr. Levine is a solo practitioner and not affiliated with large dental corporations. Every patient is under Dr. Levine’s care only. Please search for a dentist in Kendall Park and come visit us!
Yes! We see children age of three years old and up. The American Dental Association recommends that children start their dental checkups as early as three years old, and some orthodontic intervention can be done as early as seven years old.
Yes! If you are having an emergency, we will do everything we can to accommodate you the same day you call. Dr. Levine can also be available by phone after hours.
Yes! Nitrous oxide (laughing gas) is offered by request at an additional fee.
You should visit the dentist every six months for a check-up and cleaning. Regular visits help catch oral problems early and keep your teeth and gums healthy.
Yes! We offer CareCredit for more comprehensive treatments, such as full-mouth reconstruction or invisalign. Other payment plans can be arranged on a case by case basis.
Dr. Levine is trained to do many specialty procedures, including, but not limited to, full mouth reconstruction, Invisalign, and root canals. If your treatment requires specialist intervention, Dr. Levine will coordinate your treatment with the top specialists in the area.
We accept most PPO Insurance plans, including Delta Dental and submit all claims on your behalf. The patient is responsible for any fees not covered by insurance.
At our dental office near you in Kendall Park, we pride ourselves on offering a unique experience that combines high-quality cosmetic dentistry with a focus on oral health, restoration, and preventative dentistry. While we excel in cosmetic treatments, such as Invisalign, Dental Implants, porcelain restorations, Botox, and dermal fillers for both cosmetic and therapeutic purposes, we are equally dedicated to addressing all of your dental needs.
If you have any questions please give us a call or fill out the form! We can’t wait to hear from you!
Copyright © 2025 Smiles By Dr. Levine